Skip to content
RETINA

Prevenimos y curamos las patologías de la retina.

ESPECIALIDADES

Retina

¿Qué es la retina?

La retina es la capa posterior del ojo y está compuesta por células sensibles a la luz, que la transforman en impulsos nerviosos. Estos impulsos nerviosos viajan a través del nervio óptico hacia cerebro, donde se interpretan como imágenes. La zona más sensible de la retina se concentra en un área llamada mácula, donde la visión es máxima.

Revisión de la retina

Las revisiones periódicas pueden evitar la aparición de enfermedades relacionadas con la retina o controlar su evolución.

Patologías de la retina

Muchas veces la Retinopatía aparece como patología secundaria a enfermedades como la diabetes o la hipertensión arterial.

Existe la Degeneración macular asociada a la edad (DMAE), se trata de la causa más frecuente de disminución progresiva de la visión en la tercera edad. En los casos avanzados se manifestará como una mancha central acompañada de la distorsión de las imágenes. Se distinguen dos tipos:

  • La seca, donde las células se van atrofiando progresivamente y/o se acumulan algunas sustancias de desecho (llamadas drusas).
  • La húmeda, asociada a la formación de nuevos vasos sanguíneos que pueden causar la acumulación de líquido o hemorragias entre las capas retinianas.

Las afecciones vasculares por trombosis o embolias pueden afectar a una rama de las venas del ojo o a la totalidad de las mismas, causando una patología en la retina.

Las infecciones también pueden afectar la retina. Entre ellas: virales (virus herpes), parasitarias (toxoplasmosis, toxocariasis).

Los desprendimientos de retina pueden ser de diversa causa, siendo la principal la que se inicia por un desgarro o rotura de la retina.

Por último, existen afecciones de la retina debido a múltiples alteraciones degenerativas congénitas como, por ejemplo, la retinosis pigmentaria o la enfermedad de Stargard. Muchas de ellas son hereditarias.

Retina sana

Retina normal.

Degeneración macular

DMAE seca: Áreas de atrofia coriorretiniana y alteración del epitelio pigmentario de la retina en la mácula.

Visión de retina sana
Visión de retina sana

Visión normal.

Visión afectada por DMAE.

Afectación del campo visual central por DMAE.

Evaluación

Dentro de la consulta hay diversas pruebas a realizar que permiten al oftalmólogo obtener el diagnóstico adecuado. Entre ellas, se realiza un fondo de ojo para explorar la retina en su totalidad, la Tomografía para ver las alteraciones microscópicas retinianas o la Campimetría, que permite detectar las alteraciones de la visión, tanto en la parte central como en la periferia.

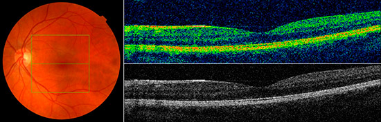
Estado normal de la mácula

Estado normal de la mácula vista con OCT.

Imagen de DMAE húmeda

A la izquierda, DMAE húmeda con edema y hemorragia macular. A la derecha, OCT que muestra la acumulación de líquido debajo de las capas de la retina (flecha) e identificación de la membrana neovascular (asterisco).

Se aprecia un desprendimiento seroso de la retina neurosensorial a consecuencia de una coriorretinopatia serosa central.

OTRAS ESPECIALIDADES

Tratamiento de las enfermedades de retina

Los tratamientos de retina dependen de la causa y patología.

En el caso de la Degeneración macular seca asociada a la edad (DMAE seca), un cambio en la dieta con la incorporación de sustancias antioxidantes puede retrasar su progresión.

En la DMAE húmeda, existen medicamentos que se inyectan en el ojo y que quitan el líquido acumulado, mejorando la visión.

En cuanto a la patología asociada al metabolismo, como la diabetes o hipertensión, se puede controlar con una buena dieta y medicación. El control del colesterol y el ejercicio ayudan a evitar que se produzcan trombosis o embolias.

Para el desprendimiento de retina a causa de un desgarro retiniano, si se coge a tiempo se puede tratar con fotocoagulación láser.

Dieta antioxidante para el tratamiento de DMAE seca

El aporte de sustancias antioxidantes en la dieta ayuda a retardar la progresión de la degeneración macular seca asociada a la edad.

Preguntas frecuentes

El ojo está relleno de un gel llamado cuerpo vítreo. Este puede formar «grumos» de diversas formas que, en ocasiones, proyectan su sombra en retina y las vemos flotar. Con la edad, el cuerpo vítreo se puede desprender y aparecer muchas de golpe. En ese caso es necesario acudir a la consulta para descartar desgarros en retina.

  • «Rayos, flashes intermitentes» junto con «moscas volantes» en cualquier parte del campo visual.
  • Mancha oscura fija en cualquier parte del campo visual, que no desparece al parpadear.
  • Mancha fija o visión de «líneas onduladas» en la parte central de la visión. Pérdida brusca y, generalmente, indolora de la visión.

Entradas relacionadas

Revisión de la retina

La diabetes y el ojo

¿Qué es la diabetes? La diabetes mellitus (DM), también conocida simplemente por diabetes, es una enfermedad crónica que se caracteriza…

Read more
Volver arriba